“Avevo la polmonite ma la guardia medica di Arona mi ha rimandato a casa”

“Avevo la polmonite ma la guardia medica di Arona mi ha rimandato a casa”

“Avevo la polmonite ma la guardia medica mi ha rimandato a casa”. Salvato dal ricovero a Borgomanero. Ecco tutta la storia.

“Avevo la polmonite”

«Racconto quello che mi è capitato perché voglio chiedere alle istituzioni un servizio sanitario più serio ed efficiente per noi aronesi». E’ profondamente amareggiato Guglielmo Autelitano, noto in città come dipendente comunale, per l’esperienza vissuta sulla propria
pelle nei giorni scorsi e che avrebbe potuto avere conseguenze ancor più gravi.

«Circa un mese fa mi è stata diagnosticata dal mio medico di base una faringite. Come mi è stato prescritto ho assunto l’antibiotico ma purtroppo il mal di gola e il senso di malessere non passavano>.

L’uomo si è quindi recato due volte alla guardia medica di Arona dove, in sostanza, avevano stabilito non ci fosse nulla di particolare. E che la faringite era di competenza del medico di base.

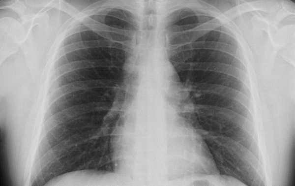
Non riuscendo più a respirare, l’uomo si è infine recato al pronto soccorso di Borgomanero. Qui, dopo gli esami di rito, gli hanno comunicato che aveva una polmonite in corso, con interessamento delle transaminasi.

Tutta la storia sul Giornale di Arona in edicola.